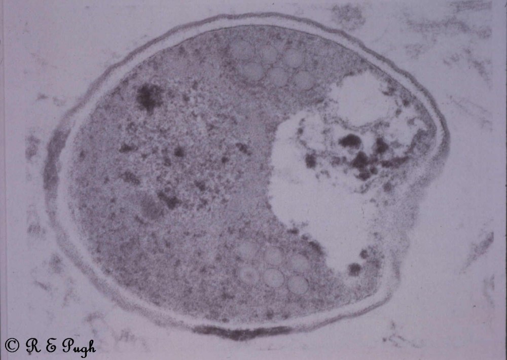
Миксоспоридии

---

FRZ.Temp холодильник

Споры Myxobolus

Слизистые Споровики


Паразит языковая мокрица

Sphaerospora branchialis

Межгенное взаимодействие

Миксоспоридия sphaerospora renicola

Крючки Gamakatsu Hook LS-2210s

Микроспоридиозы рыб

Henneguya Oviperda

Миксоспоридия sphaerospora renicola

QR код Хеликс 144р

Аэротенк вытеснитель чертеж

Аквариумная рыбка серебристый Карасик

Myxidium salvelini

Массажная щетка DEWAL exception brex703

Миксоспоридии под микроскопом

Микроспоридии под микроскопом

Микроспоридии цикл развития


Метацеркарии в рыбе под микроскопом

Описторхоз (описторхи)

Microsporidia грибы

Бранхиомикоз (жаберная гниль)

Henneguya Acerina

Строение споры микроспоридий



Микроспоридии жизненный цикл

Henneguya

Спора микроспоридии

Myxobolus pyriformis

Жизненный цикл микроспоридий

Миксоспоридии (Myxozoa)

Хоанофлагелляты Амебозои

Белый фон без ничего


Миксоспоридии представители

Жаберные сосальщики у аквариумных рыб

Сфирион люмпи в морском окуне

Myxobolus cerebralis жизненный цикл

Chloromyxum truttae

Monosiga brevicollis

Микроспоридии у рыб фото

Psoroptes cuniculi цикл развития


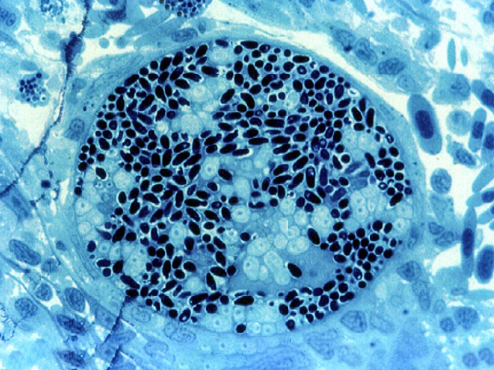
Миксоспоридии у аквариумных рыб


Myxobolus pfeifferi


Органеллы питания микроспоридий

Тип microspora

Тип микроспоридии (microspora)

ПАРАМЕЦИЯ это инфузория туфелька

Жизненный цикл миксоспоридий



Цикл развития Лабиринтулы

Аватар без аватара

Класс миксоспоридий мировой фауны

Bodo жгутиконосец

Микроб инфузория туфелька

Паразиты Myxozoa

Жизненный цикл микроспоридий


Myxozoa представители

Глохидий беззубки на рыбе


Glugea Microsporidium

Автоклав Shinva xg1.UCD-185s


Myxozoa жизненный цикл

Henneguya Oviperda

Пилорические придатки у скумбрии

Микроспоридии препарат

Ксоспоридии Споровики

Спора микроспоридий строение

Рыба пораженная Миксоспоридии

Миксоспоридиоз у лялиусов: